Më pak ditë në spital, më pak komplikacione dhe rezultate më të mira për pacientët
Embolizimi i arteries meningjeale të mesme (MMAE), një procedurë e re terapeutike, ka treguar se mund të parandalojë në mënyrë efektive rikthimin e hematomave subdurale kronike, pra gjakderdhjet në tru që shfaqen pas ndërhyrjeve kirurgjikale. Kjo qasje shoqërohet me rrezik më të ulët të dështimit të trajtimit krahasuar me terapitë standarde, pa rritur rrezikun e goditjes së rëndë në tru apo vdekshmërisë afatshkurtër.
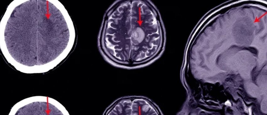
Gjakderdhja në tru është e shpeshtë, sidomos te të moshuarit – rikthimi mbetet problem serioz
Këto përfundime bazohen në tre studime klinike të ndërlidhura, të publikuara në New England Journal of Medicine.
Një studim i katërt, i njohur si MEMBRANE, u prezantua në takimin vjetor të Society of Vascular and Interventional Neurology (SVIN) dhe po ashtu tregoi efekt të dukshëm pozitiv të MMAE krahasuar me trajtimin standard.
Hematoma subdurale subakute dhe kronike janë të shpeshta, veçanërisht te personat e moshuar. Edhe pas heqjes kirurgjikale, e cila pritet të bëhet procedura neurokirurgjikale kraniale më e shpeshtë deri në vitin 2030, sëmundja rikthehet te 8–20% e pacientëve.
Parandalimi i rikthimit sjell përfitime të shumëfishta
“Në institucionin tonë trajtojmë shpesh pacientë të moshuar, shumë prej të cilëve marrin terapi për hollimin e gjakut për shkak të sëmundjeve kardiake dhe kanë rrezik të lartë për rënie. Tek ta shfaqen hematoma subdurale, si traumatike ashtu edhe të ashtuquajtura ‘spontane’, të cilat shpesh janë pasojë e traumave të fshehura, si rrëshqitje apo rënie të paraportuara. Nëse mund të parandaloni rikthimin e hematomës subdurale, mund të ulni ndjeshëm sëmundshmërinë dhe vdekshmërinë”, thekson dr. Michael J. Schneck, profesor i neurologjisë dhe neurokirurgjisë në Loyola University Medical Center.
Morbiditet më i ulët dhe rrezik më i vogël komplikacionesh
Shumë pacientë me hematoma subdurale kronike nuk janë kandidatë të mirë për kirurgji, ndërsa ndërhyrjet e përsëritura, nëse operacioni i parë dështon, mbartin rreziqe të shtuara.
“Shpesh këta pacientë kanë sëmundje shoqëruese serioze dhe janë në terapi antikoagulante për valvula artificiale të zemrës ose fibrilacion atrial, ose marrin terapi antiagreguese për stente koronare apo periferike”, shpjegon dr. David Fiorella, bashkëdrejtues i Qendrës për Sëmundje Cerebrovaskulare dhe Goditje në Tru në Stony Brook Medicine dhe hulumtues kryesor i studimit STEM. Sipas tij, dërgimi i këtyre pacientëve në operacion shoqërohet me morbiditet të konsiderueshëm dhe rrezik të lartë komplikacionesh.
Pse ndodh rikthimi i gjakderdhjes?
Edhe pas heqjes kirurgjikale, këto hematoma shpesh “sillen sikur kanë një rrjedhë të tyre”, shpjegon dr. Jason Davies, docent i neurokirurgjisë dhe informatikës biomjekësore në University at Buffalo (SUNY) dhe hulumtues kryesor i studimit EMBOLISE.
“Gjatë disa javëve, teksa mpiksja shpërbëhet, formohen membrana që furnizohen me gjak nga dura mater. Këto membrana janë të prirura për rrjedhje dhe gjakderdhje të re, edhe pas drenazhit. Hipoteza bazë e MMAE është se mund t’i ‘thajmë’ këto membrana duke mbyllur arterien që i furnizon me gjak, duke parandaluar kështu rikthimin.”
Efikasitet i konfirmuar, procedurë e thjeshtë dhe e sigurt
Të tre studimet klinike treguan efikasitet të qartë të kësaj metode. Sipas dr. Fiorella, kjo pritet të përkthehet në:
qëndrim më të shkurtër spitalor
më pak ditë në terapi intensive
kosto më të ulëta të trajtimit
Dr. Schneck, fillimisht skeptik ndaj rezultateve të hershme (fazat 1 dhe 2), thekson se të dhënat e reja janë bindëse. Pas prezantimit në Konferencën Ndërkombëtare për Goditjen në Tru, ai e rekomandon pothuajse rutinë MMAE për pacientët me hematoma subdurale në kujdes intensiv.
Të tre studimet raportuan profil sigurie të favorshëm, me shkallë të ngjashme vdekshmërie dhe goditjeje të rëndë invalidizuese. “MMAE nuk është vetëm jashtëzakonisht e sigurt, por edhe teknikisht e thjeshtë, me kërkesa më të ulëta se trajtimi i malformacioneve arteriovenoze apo edhe trombektomia, falë përdorimit të materialeve embolizuese të lëngshme”, përfundon dr. Fiorella.

