Ushqimet e shumë përpunuara mund të ndryshojnë strukturën e muskujve të trupit, duke i bërë ata të duken si “mish i krijuar nga mermeri”, një fenomen që zakonisht lidhet me biftekët cilësorë, por që në këtë rast është një shenjë shqetësuese për shëndetin.
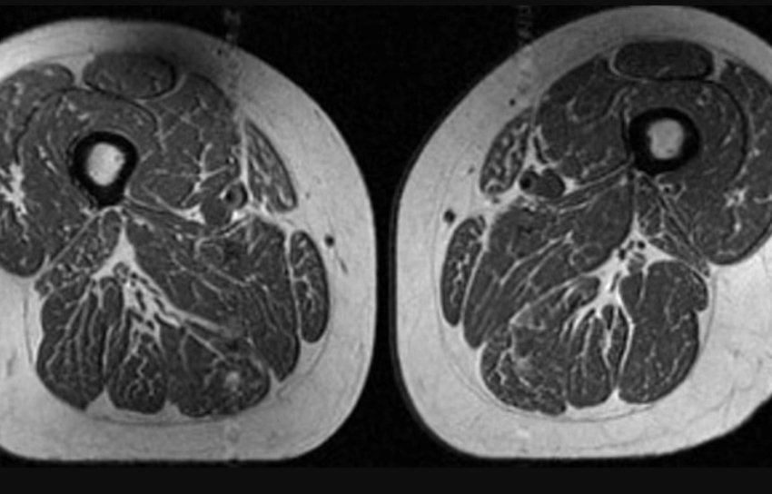
Një imazh nga rezonanca magnetike (MRI) tregoi kofshën e një gruaje 62-vjeçare që merrte rreth 87 për qind të kalorive nga ushqime shumë të përpunuara. Në vend të muskujve të fortë, skanimi zbuloi shtresa të shumta yndyre të shpërndara brenda dhe midis fibrave muskulore, ka shkruar CNN.
Imazhet nga rezonanca magnetike (MRI) që tregojnë kofshën e një gruaje 62-vjeçare që merrte rreth 87 për qind të kalorive nga ushqime shumë të përpunuara
Studiuesja Zehra Akkaya nga University of California San Francisco ka shpjeguar se dieta e saj përbëhej kryesisht nga drithëra të gatshme, çokollata dhe pije me sheqer.
“Dieta e kësaj pjesëmarrëse përbëhej kryesisht nga drithëra të ftohta, ëmbëlsira si çokollata ose çokollata në shufra, si dhe pije të zakonshme me gaz apo pije të ëmbla në shishe”, ka thënë ajo.
Sipas studimit të ri, prania e yndyrës brenda muskujve është një sinjal për probleme serioze shëndetësore, sidomos te personat që janë në rrezik për osteoarthritis të gjurit.
“Është shqetësuese sidomos sepse këta individë, të skanuar në një kohë kur nuk kishin ende shenja të osteoartritit, tashmë tregonin cilësi të dobët të muskujve”, ka shtuar Akkaya.
Ushqimet shumë të përpunuara lidhen me shtim në peshë, obezitet dhe sëmundje kronike si kanceri, sëmundjet e zemrës, diabeti i tipit 2 dhe depresioni. Madje, ato mund të shkurtojnë edhe jetën.
Sipas të dhënave nga Centers for Disease Control and Prevention, më shumë se 50 për qind e kalorive që konsumojnë të rriturit në SHBA vijnë nga këto ushqime, ndërsa te fëmijët kjo shifër arrin në 62 për qind.
Lidhja mes yndyrës në muskuj dhe dhimbjes së gjurit është e fortë. Yndyra pengon rigjenerimin e fibrave muskulore dhe i dobëson ato, duke rritur rrezikun për osteoarthritis, forma më e zakonshme e sëmundjeve të nyjave që prek rreth 375 milionë njerëz në botë.
“Muskujt e kofshës janë thelbësorë për stabilitetin e gjurit dhe çdo dobësim i tyre rrit presionin mbi nyje, sidomos te personat me mbipeshë”, ka thënë Akkaya.
Radiologia Miriam Bredella nga NYU Langone Health ka theksuar se ky fenomen nuk prek vetëm kofshët.
“Është një proces që ndodh në gjithë trupin, edhe në muskujt e këmbëve, shpatullave apo barkut do të shihni ndryshime të ngjashme”, ka thënë Bredella.
Ajo ka shtuar se muskujt me yndyrë janë më të dobët dhe kjo lidhet me pasoja të rënda.
“Nëse jeni në spital, dobësia muskulore zgjat qëndrimin tuaj. Nëse bëni operacion, është një tregues negativ për rezultatin”, ka thënë ajo.
Studimi, i publikuar në revistën Radiology, ka analizuar 615 persona rreth moshës 60-vjeçare.
Rezultatet kanë treguar qartë se sa më shumë ushqime tё shumë përpunuara të konsumonte një person, aq më shumë yndyrë kishte në muskujt e kofshës, pavarësisht sasisë së kalorive.
“Gjatë gjithë studimit, sa më shumë ushqime shumë tё përpunuara konsumonte një person, aq më shumë yndyrë kishte në muskujt e kofshës, pavarësisht kalorive”, ka theksuar profesori Thomas Link.
Megjithatë, ekspertët theksojnë se kjo është një lidhje e fortë, por jo domosdoshmërisht shkak i drejtpërdrejtë.
Ajo që dihet me siguri është se ndryshimi i stilit të jetesës ndihmon. Ushtrimet dhe ushqimi i shëndetshëm mund të përmirësojnë cilësinë e muskujve.
“Është më e lehtë te të rinjtë, por është e mundur edhe te të moshuarit”, ka thënë Bredella.
Për të mbrojtur muskujt dhe nyjet, ekspertët rekomandojnë:
-Ushtrime me ndikim të ulët si ecja, biçikleta ose pajisja eliptike
-Forcimin e muskujve të kofshës, vitheve dhe këmbëve
-Shmangien e sporteve me goditje të forta si basketbolli apo tenisi
Sa i përket ushqimit, sipas ekspertëve, muskujt kanë nevojë për proteina të mjaftueshme.
“Muskujt kanë nevojë për proteina të mjaftueshme, por shufrat proteinike të përpunuara nuk janë zgjidhja. Shumë prej tyre janë plot me sheqer”, ka thënë Bredella.
Këshilla praktike për të ulur konsumimin e ushqimeve të shumë përpunuara janë të lexohen etiketat dhe të zgjidhen produkte më natyrale, të shtohen më shumë perime, fruta, drithëra dhe bishtajore, të zëvendësohen pijet me sheqer me ujë si dhe të zgjedhen restorante lokale në vend të atyre me ushqime të shpejta apo fast food.

